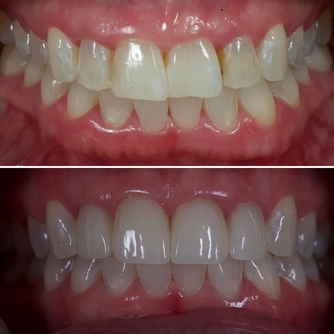
Curious about the results you can achieve with Renew Dental? Check out our before-and-after gallery to see real patient success stories. From smile makeovers to restorative treatments, these photos showcase what’s possible with personalized care!
Before

After
Before

After
Before

After


.webp)


